
Over 40 million Americans wear dentures.
Dentures are removable dental appliances tailor-made to replace missing teeth.



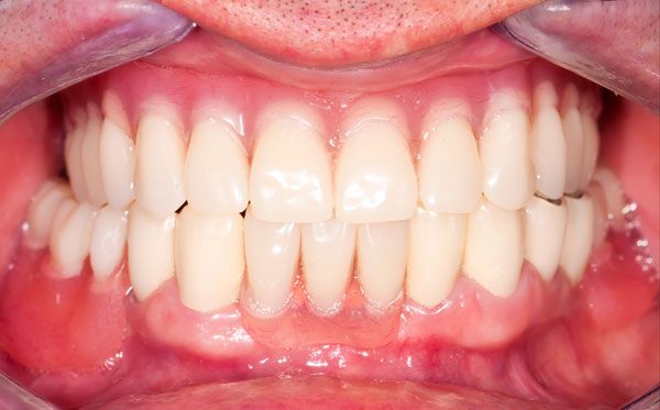
Dentures look fake

Dentures stain easily
Quality dentures stain less easily than natural teeth. The composite resin material used in dentures included a sealant designed to hinder issues with staining.

Dentures won’t stay put
Today’s custom-made dentures are designed to stay in place.

Dentures restrict my diet
Properly made & placed dentures allow you to eat almost anything you want.

Dentures will make me look older
On the contrary, dentures often make people look younger because they help maintain the jaw, facial muscles, and bite.

Imagine a beautifully straight smile without all the restrictions and difficulties of brackets and wires all over your teeth. That’s what makes Invisalign® one of the most popular treatment options at Dowell Dental Group.
Our revolutionary CEREC® device combines CAD/CAM (Computer Aided Design/Computer Aided Manufacturing) technology with a specialized digital camera, advanced software and a precision milling machine to allow our experienced team to quickly create a natural-looking ceramic crown on the spot.

Virtually invisible to others
The clear aligners from Invisalign® allow you to straighten your teeth without the obvious appearance of metal braces.

Eat and drink whatever you want
The clear aligners from Invisalign® allow you to straighten your teeth without the obvious appearance of metal braces.

No limits on activities
Because the aligners are removable, you may engage in activities that traditional wire braces may restrict.

Comfortable
With Invisalign®, each aligner is custom designed to fit precisely over the teeth as it puts gentle pressure on the teeth to move them into place. There are no wires and brackets that may cause bleeding and discomfort.

Easier Care
No special brushing needed. Simply remove the aligners, perform your regular oral hygiene tasks, and put the aligners back in place.

Loose or shifting teeth
Loose or shifting teeth and widening spaces between your teeth may be a sign of bone loss and periodontal disease. If you have loose teeth, they will need to be removed and dentures will provide a tooth replacement option.

Pain
Severe pain can be a sign that tooth decay is attacking the nerve in the middle of the tooth. Caught early during your regular dental visit, this issue can be fixed with a filling. When decay is advanced, sometimes it must be removed and replaced with a partial denture to maintain proper functioning of your teeth.

Missing Teeth
Missing teeth place an unbearable burden on the remaining teeth. One lost tooth typically leads to more and more lost teeth in the future. In a survey by the Centers for Disease Control and Prevention, nearly one in five adults over the age of 65 had all their teeth removed.

Problems Chewing
Difficulties eating hard or chewy food may reveal serious problems below the surface. These issues may be the sign that a tooth or teeth may soon need to be extracted and replaced with dentures.

Contact us today for a complimentary denture consultation to see how this cost-effective option can replace missing teeth and restore your smile.

Dentures restore your smile and your confidence. You can smile freely without worry.
Modern dentures generally allow you to eat what you want.
Without teeth, facial muscles begin to sag and impact your appearance, making you look older. Dentures provide the support needed to maintain your facial structure.
Dentures not only provide a cost-effective solution to restore your smile, they prevent a myriad of expensive oral health issues over the long-term.
When teeth go, so does bone. Dentures decrease the rate at which bones deteriorate.
Missing teeth place a huge burden on remaining teeth, causing them to wear more quickly. Dentures balance the load.
Missing teeth can impact the way you say certain words. Dentures solve that issue.
Because we custom design your dentures to fit your smile, your gum shade, and your skin tone
– they look naturally beautiful.
We look forward to meeting you!
Call 330-627-5005 or request an appointment online to set up your first visit.